Case Studies
Discover real-world case studies showcasing how our AI solutions drive innovation in conversational AI, generative AI, data annotation, and industry-specific applications.
- Home
- Case Studies
All Cases
21
01. Data Annotation
11
02. Data Acquisition
2
03. AI Consulting
7
04. Agriculture
8
05. Automotive
2
06. Conversational AI
1
07. Geospatial
2
08. Healthcare
4
09. Insurance
1
10. Infrastructure
1
11. Security Services
2
Retail AI
1

Transforming Navigation for the Blind and Low-Vision Community
Discover how Aya Data's precision annotation services helped create breakthrough AI mobility technology that transforms independence for the blind and low-vision community.
Read more

Organising Fashion for the AI Era
Learn how TRUSS partnered with Aya Data to scale fashion AI, achieving 92%+ accuracy and 3x image throughput for smarter, style-aware retail intelligence.
Read more

How AI is Preserving Cemeteries and Heritage Sites
Learn how AI-driven innovation is helping preserve cemeteries, protect community history, and ensure the silent stories of the past are never forgotten.
Read more

Smart Data Transforms Strawberry Harvesting
Aya Data’s precision data annotation improved strawberry harvesting accuracy by 30%, reducing waste and enhancing agricultural sustainability for Dogtooth.
Read more

Local Language AI Support
Aya Data created voicebots in African languages, enabling a financial services company to automate 50% of customer inquiries across seven countries.
Read more

AI Drones Transform Palm Farming
Aya Data's drone and AI solution achieved 98% accuracy in monitoring 6,000 hectares, delivering real-time insights for efficient plantation management.
Read more

AI Transforms Underperforming Farm Operations
AyaGrow's AI solution revolutionised WAA's 800-hectare plantation, solving challenges in tree inventory, yield forecasting, and security while boosting productivity and profitability.
Read more

AI Revolutionises Oil Palm Farming
AyaGrow transformed TOPP's 4,000-hectare plantation management, automating tree census and terrain mapping to reduce annual costs and improve safety.
Read more

Smart Cocoa Monitoring Takes Flight
Aya Data's drone technology and data processing enabled automated disease detection and comprehensive monitoring across 1,200 hectares of cocoa plantation.
Read more

Smart Soil Data Drives Sales
Aya Data's interactive dashboard combined soil acidity and sales data, helping Demeter optimize fertilizer recommendations and achieve 48% revenue growth.
Read more

AI-Powered Maize Disease Detection
Aya Data developed a smartphone app to help Ghanaian farmers quickly identify maize diseases, reducing crop losses through accurate diagnosis.
Read more

Vehicle Damage Detection Speeds Claims
Aya helped an African insurer automate vehicle damage assessment by delivering 85,000 annotated images, enabling faster claims processing and accelerating their AI model deployment.
Read more

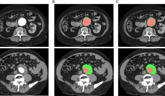
Secure 3D Medical Data Annotation Solutions
Aya Data helped a MedTech company obtain and annotate complex vascular scans, meeting European standards while reducing costs and ensuring privacy.
Read more

Infrastructure Damage Detection Made Precise
Aya Data annotated 250,000 road images for crack detection, delivering consistent accuracy across varying conditions to enable data-driven maintenance decisions.
Read more

Satellite Analysis for Environmental Protection
Aya Data provided precise satellite image annotation to track deforestation and land use changes in South America, supporting sustainable environmental policy decisions.
Read more

E-Scooter Detection for Autonomous Vehicles
Aya Data helped train self-driving cars by delivering 10,000 precisely labeled e-scooter images, achieving 95% detection accuracy for safer autonomous navigation.
Read more

Advanced Retail Security Through AI
Aya Data annotated 5,000 hours of surveillance footage to help develop real-time shoplifting detection systems for effective theft prevention.
Read more

Police Radio Transcription At Scale
Aya Data's Ghana team accurately transcribed 500,000 police radio communications, overcoming audio quality challenges to deliver 18x better performance.
Read more

Expert Medical Image Data Labeling
Aya Data delivered precise, standards-compliant medical annotation services to help Cydar Medical scale operations while maintaining diagnostic accuracy.
Read more

AI Powers Smarter Forest Growth
AI Powers Smarter Forest Growth Aya Data's drone and AI solution helped Oko Environmental increase tree germination rates to 94% while monitoring growth and environmental risks.
Read more

Digital Health Records Drive Care
Aya Data digitized thousands of patient records with expert medical labeling, enabling quick access to information and improving healthcare delivery efficiency.
Read more
